The State of Healthcare in Uganda
Uganda’s health-care system reflects a mix of progress and persistent hardship. While the country has seen improvements in immunization, maternal care, and disease control, millions of Ugandans still face severe barriers to quality, affordable health services. The system remains under-resourced, unevenly distributed, and heavily reliant on donor support.
Access and Affordability
Most Ugandans struggle to afford treatment. There is no health facility in Uganda that provides completely free treatment, not even for simple illnesses like a cough or flu. As a result, many people live with treatable illnesses for life, or until death, because they cannot afford proper medical care. Instead, they often rely on painkillers or herbal remedies to ease discomfort temporarily.
This reality becomes clear during medical camps, short-term outreach events that offer free consultations and medicine. During such camps, thousands of people line up seeking help for conditions they have endured for weeks, months, or even years, especially dental and eye problems.
Service Delivery and Health Outcomes
Uganda has seen progress in childhood immunization, maternal health, and infectious disease control. However, non-communicable diseases like hypertension, diabetes, and asthma are rising, creating a double burden. Emergency and critical care services are being strengthened, but coverage remains patchy, and referrals between health levels are often slow or unreliable.
Looking Ahead
The future of Uganda’s health-care system will depend on expanding affordable primary care in rural areas, improving supply chains and workforce training, and ensuring essential medicines and treatments are accessible to all.

A story behind the statistics
To truly understand the state of health care in Uganda, one only needs to look at the story of Teddy Namugambe, a 17-year-old girl whose life has been shaped by both poverty and the lack of affordable medical treatment.
Teddy was born into a family of five children. Her father, a peasant farmer, passed away after a tragic fall from a jackfruit tree, leaving her mother to care for the children alone. Her mother continues to farm to support them, but income is barely enough for food, let alone medical care.
When Teddy was nine, she went to live with an aunt in Kampala, but her health soon began to fail. Over time, Teddy’s teeth began to decay severely. As the infections worsened and the pain became unbearable, her aunt (unable to afford dental care) sent her back home. At home, Teddy’s mother could only offer painkillers whenever the pain grew too severe.
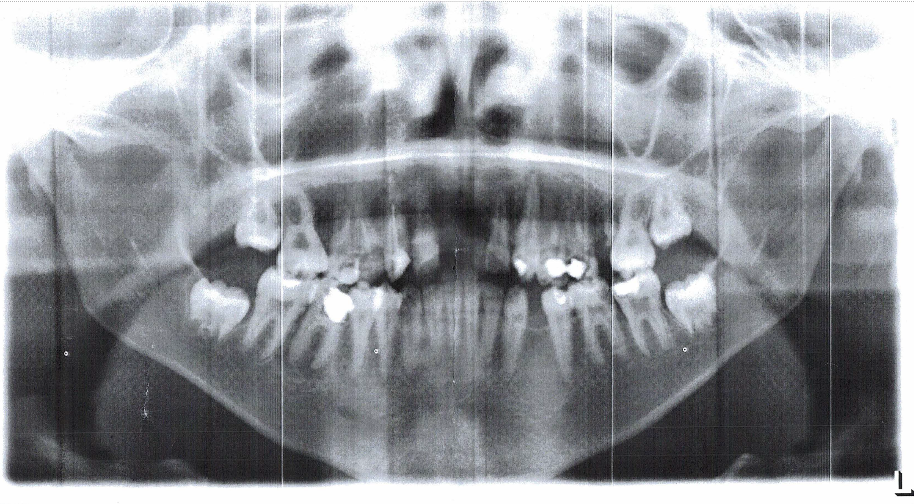
When she was finally taken to St. Francis Hospital, Naggalama, doctors reported that she had no healthy tooth left in her mouth. They could only save seven of them and recommended replacing the rest with artificial teeth, an expense far beyond her family’s means. Her younger brother Nicolas also suffers from untreated asthma. He has lived with untreated lung complications for six years.
Teddy’s story is one of endurance, love, and loss, but it also reflects the struggles of countless Ugandan families who face treatable illnesses without access to affordable care. Thanks to the generosity of CARITAS For Children donors, Teddy is receiving the life-changing dental treatment she needs, to restore all her teeth for her 17th birthday at a fraction of what such care would cost in the United States.

Uganda’s health-care system stands at a crossroads. It has achieved progress, but deep inequities and financial barriers persist. Many Ugandans, like Teddy and her brother Nicolas, continue to endure preventable suffering simply because care is unaffordable or unavailable.
Their stories remind us that behind every statistic is a human being, someone who deserves the chance to live, smile, and thrive.
Together, we can give Teddy and countless others a reason to smile again- not just with their lips, but from their hearts.

